更新时间:2026-03-30 14:50:45来源:搜狐
手术过程中,董念国教授、钟禹成教授、陈澍教授凭借精湛的解剖把控能力与精细化操作技术,精准完成瓣膜定位与释放。此次成功案例不仅展现了术者团队在复杂结构介入治疗领域的卓越实力,更凸显DOCS VALVE?系统在力学平衡性能方面的突破性优势,为医生与主动脉瓣关闭不全患者提供更可靠的治疗选择。

一、病例简介:
高龄女性患者,因1周前发生睡觉时憋醒,感心慌、胸闷,遂就诊于当地医院急诊科,完善相关检查,心脏彩超提示主动脉瓣退行性病变并重度关闭不全,二尖瓣轻度关闭不全,三尖瓣关闭不全,遂至协和医院寻求进一步诊疗。
心脏超声示:升主动脉增宽,主动脉瓣呈三叶瓣,瓣叶增厚,回声增强,瓣叶开放尚可,主动脉瓣退行性病变并重度关闭不全,二尖瓣轻度关闭不全,升主动脉及主动脉窦部增宽,左心增大,心包少量积液。


术前CT评估示:升主动脉增宽,主动脉瓣呈三叶瓣,瓣叶增厚,回声增强,瓣叶开放尚可。



术前食道超声

二、手术关键步骤:
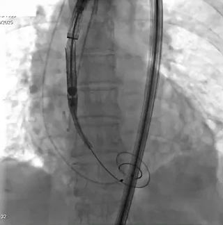
猪尾导管进窦

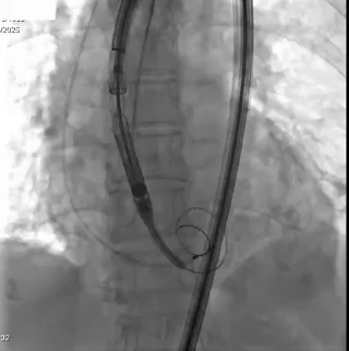
输送器跨过瓣膜,定位件入窦

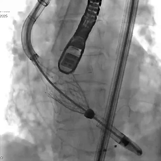
瓣膜释放

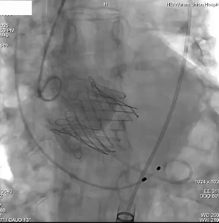
瓣膜释放后造影检查瓣膜位置,功能、形态良好,未见明显反流及瓣周漏

术后食道超声

术后食道超声证实主动脉瓣位置及功能正常,未见明显反流及瓣周漏。
三、术后总结:
董念国教授团队凭借其丰富的临床经验和精湛的技术,不仅为患者带来了重获新生的希望,也为结构性心脏病领域的临床研究注入了全新活力。术中,唯柯医疗DOCS VALVE?经导管主动脉瓣膜系统展现出卓越的性能:释放过程中无需快速起搏,器械调弯与旋转传动的精准调控能力、瓣膜释放的可靠性和稳定性,以及输送系统回撤过程中的流畅性,均位于行业前列水平。这一成功案例再次印证了该国产创新器械在处理复杂主动脉瓣病变中的独特优势,标志着我国TAVR技术迈向新高度。
四、专家简介:

董念国:华中科技大学同济医学院附属协和医院
国家二级教授、主任医师、博士生导师,华中科技大学同济医学院附属协和医院心脏大血管外科主任、器官移植中心主任、心研所所长。中国医师协会心血管外科分会会长,中华医学会胸心血管外科分会副主任委员,国家心血管疾病医疗质量控制中心专家委员会副主任委员,国家心脏移植技术医疗质量控制中心专家委员会副主任委员,亚洲胸心外科学会(ASCVTS)常务理事,美国胸心血管外科学会(AATS)、国际微创胸心外科学会(ISMICS)会员。
致力于心脏大血管外科临床、科研及教学工作,具有扎实的心脏外科理论知识和精湛的手术技能。国内率先开展了一系列复杂先心病(大动脉转位、主动脉弓离断等)矫治术、重症冠心病杂交手术、微创小切口搭桥术、微创房颤消融手术及心脏移植手术。成功实施全国首例心肝联合移植、裸心归位及心内复杂畸形一期矫治、双胞胎肺动脉闭锁一期矫治术及全国最小年龄(3月)和最高年龄(76岁)心脏移植术。在婴幼儿复杂先心病、危重冠心病、微创冠心病及瓣膜病外科、心脏和心肺移植方面有突出成就。

钟禹成:华中科技大学同济医学院附属协和医院
心脏大血管外科介入微创手术组 副主任医师,擅长:复杂冠心病(特别是冠脉慢性闭塞病变CTO、冠脉严重钙化病变)及结构性心脏病(心脏瓣膜病)介入治疗、复杂心律失常(心房颤动)导管消融治疗。湖北省预防医学会心血管病学分会结构性心脏病专业委员会副主任委员,湖北省医学会胸心外科分会结构性心脏病专业委员会副主任委员,武汉医院协会结构性心脏病管理专业委员会副主任委员,CCI创新学院第二期成员,湖北省TAVR联盟副秘书长,亚太结构性心脏病青年俱乐部黄金会员,中国康复医学会慢病康复专委会委员,湖北民盟第十四届卫生与健康专委会委员,湖北省微循环学会第一届心血管专业委员会委员,湖北省预防医学会大血管疾病防治学组第一届委员,湖北省房颤中心第一届左心耳封堵委员会委员,湖北省冠脉慢性闭塞病变俱乐部秘书,武汉医学会第四届医疗事故技术鉴定库专家,武汉医学会心血管病分会急重症学组委员。

陈澍:华中科技大学同济医学院附属协和医院
中国医师协会心血管外科医师分会结构性心脏病学组副组长,亚洲胸心外科医师协会(ASCVTS)会员,湖北省医学会胸心外科分会秘书,湖北省医师协会心血管外科医师分会委员,亚洲心脏瓣膜学会中国分会委员。擅长经导管瓣膜病诊疗,肥厚梗阻型心肌病的外科治疗,二尖瓣成形等。专业擅长:肥厚梗阻型心肌病的外科治疗,复杂二尖瓣成形,经导管瓣膜病诊疗等。