更新时间:2026-03-04 11:18:20来源:搜狐

一、医者匠心,源自临床
D-shufo®卵圆孔未闭封堵器源自临床医生一线设计理念,结合材料工程师研发加持,是目前国内获批上市的唯一“单铆+涂层”的二代PFO封堵器。
基于对PFO解剖特性的深入了解,D-shufo®提供了12种规格型号,通过精细调整腰部和盘面直径,力求为每位患者提供最适合的治疗方案,以达到最佳的治疗效果。独有的“左大右小”盘面规格,为处理复杂多变的PFO病例提供了高度的适配性,成为临床医生在挑战复杂病例时的优选工具。针对金属过敏患者,封堵器表面应用了派瑞林纳米涂层技术,有效减少镍离子释放,提升患者的治疗安全性。此外,D-shufo®封堵器采用左盘无铆与双盘内扣设计,增强了植入后的密封性,有效减少残余分流,并有助于加速内皮化过程,降低左心血栓的风险。
二、CASE展示
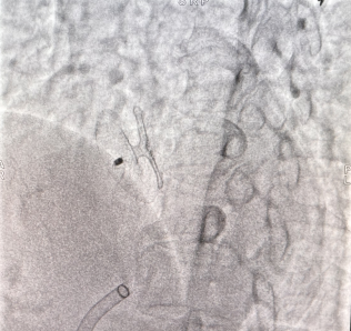
Case 1

卵圆未闭合并房间隔膨出瘤。卵圆孔隧道长度4.9mm,裂隙直径1.4mm,房间隔膨出瘤基底宽21mm,深度约9mm,可见左向右分流。应用D-shufo 3036-6 PFO封堵器成功封堵。
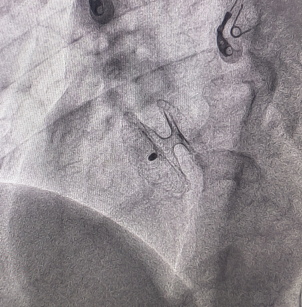
Case 2

卵圆孔未闭合并房间隔膨出瘤伴多孔房缺。卵圆孔隧道长9.0mm,裂隙直径1.0mm。房间隔膨出瘤基底宽12mm,深度约6.0mm,瘤上见两处连续中断,可见左向右分流,分流束宽分别为2.1mm,1.5mm。应用D-shufo 3024-6 PFO封堵器成功封堵。
Case 3

卵圆孔隧道长4.4mm,裂隙直径1.7mm。可见房水平右向左分流。应用D-shufo 2424-3 PFO封堵器成功封堵
Case 4

卵圆孔隧道长12mm,裂隙直径3.2mm。房间隔探及左向右约4mm的分流束。应用D-shufo 3036-6 PFO封堵器成功封堵。
Case 5

卵圆孔隧道长7.3mm,裂缝直径1.3mm,可见左向右分流。应用D-shufo 1824-3 PFO封堵器成功封堵。
三、规范引领,行稳致远
D-shufo® PFO封堵器的治疗理念,不仅聚焦于植入后的即时疗效,更将术前规范化筛查及术后随访与长期管理视为治疗全周期中的核心环节,致力于为医生提供全方位的支持,助力实现PFO治疗的规范化与标准化,共同为患者打造安全、高效、全面的医疗服务体验。随着D-shufo® PFO封堵器在全国范围内的广泛应用,我们相信,它将为更多PFO患者带来福音,推动整个治疗领域向更加成熟、规范的方向发展。
